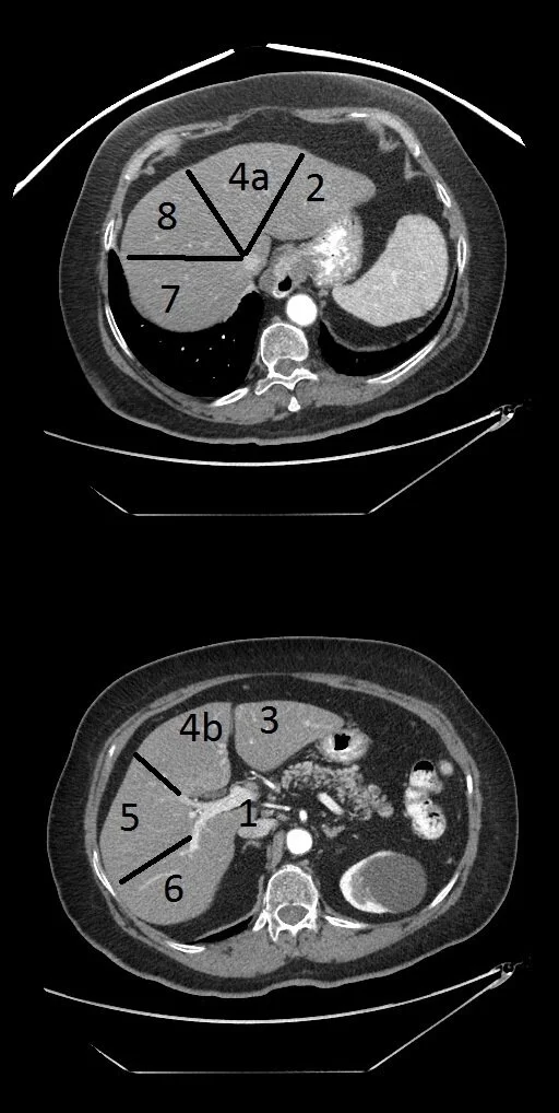
Hepatic Segment Numbering
For a thorough overview of segmental anatomy of the liver, please view the Radiology Assistant on this topic
Your Custom Text Here
For a thorough overview of segmental anatomy of the liver, please view the Radiology Assistant on this topic